
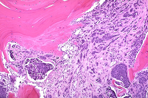
![]() | The marrow spaces between the trabecular bone are filled with cohesive clusters of dark blue cells and smaller groups of these cells replacing normal hematopoietic cells. This is metastatic carcinoma. The primary site in this case was breast. A bone scan can help to identify metastases. A bone marrow biopsy can confirm the diagnosis. |
![]() |