
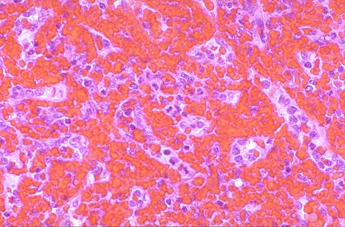
| The splenic sinusoids are packed with RBC's in this case of hereditary spherocytosis. The osmotic fragility of spherocytes is increased, because the RBC's have decreased surface area per unit volume. The major clinical features of spherocytosis are anemia, splenomegaly, and jaundice. An aplastic crisis may occur with parvovirus infection. |
![]() |