
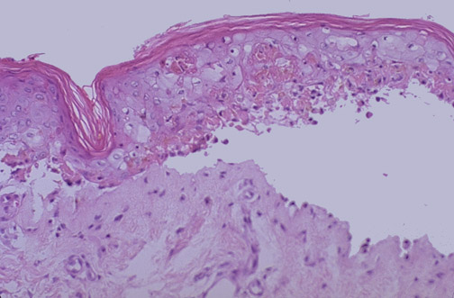
| There are few dermatologic emergencies. This is one of them known as toxic epidermal necrolysis, or TEN. Seen here is a necrotic epidermis lifting off the dermis to form a subepidermal bulla. There are several variations on this theme, which may be the result of a reaction inducing keratinocyte apoptosis as a consequence of an infection or use of a drug: |
|
![]() |