
|
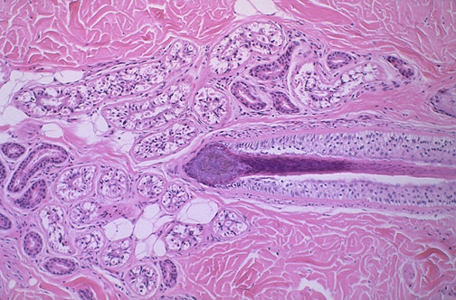
At medium power, the hair follicle is a complex structure, with a hair root at the center from which the hair shaft is generated. Hair color, texture, and distribution are genetically determined, though a great deal of human effort is directed at modifying those parameters. Various forms of hair removal have been utilized. Shaving removes the hair shaft at the skin surface and can irritate the skin, and sometimes the hair at or just below the surface will not grow out properly, producing a folliculitis. Chemical depilatories dissolve the hair shaft, but may cause skin irritation. Plucking the hair removes the shaft from the root, and the hair will grow out with a softer texture. Electrolysis destroys the hair root. Baldness affects men more than women, Caucasians more than other races, and tends to be genetically determined. Reversal of this process is sought with hair transplantation, by taking hair follicles from elsewhere. The drug minoxidil, which will provide some degree of effectiveness in a third to half of persons, works by increasing local blood flow in the scalp. |
![]() |