
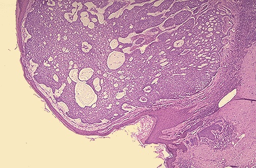
| This is a basal cell carcinoma (BCC). A BCC is probably the most common skin malignancy. A BCC can grow quite large and invade surrounding tissues, but it virtually never metastasizes. The BCC above is growing as a nodular mass. BCC's around the eye present a challenge to the surgeon to remove and retain functionality of the eyelid. Therefore: detect BCC's early and treat them when they are small! |
![]() |