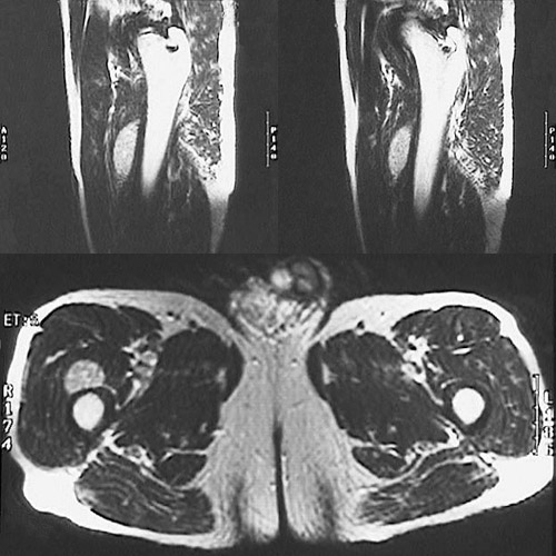
Click on the mass in the lower panel of the MRI scan above:

This is a magnetic resonance imaging (MRI) scan of the legs that reveals a circumscribed soft tissue mass arising in the thigh region just anterior to the femur (the fatty marrow is bright and the bone cortex is dark). Soft tissue tumors are difficult to diagnose. Though relatively small in size, this mass proved to be a sarcoma.