
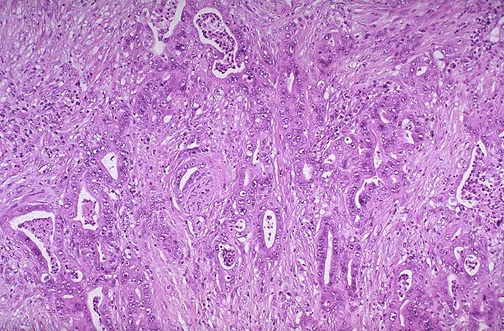
| The appearance of an adenocarcinoma of the pancreas is seen at medium magnification. Just to the left of center can be seen perineural invasion by the neoplasm, which is composed of very irregular glands. Involvement of the nerves can lead to the intense, constant pain typical for infiltrative malignant neoplasms. |
![]() |