
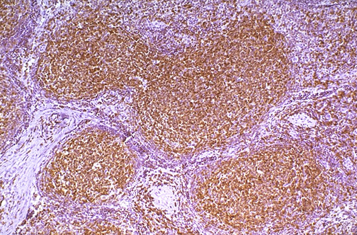
| This is an example of bcl-2 positivity in a lymphoma. In this case, the overexpression of this oncogene results in an inhibition of apoptosis, and increased numbers of lymphocytes. The immunohistochemical staining shown here highlights these neoplastic lymphocytes within lymphoid follicles and interfollicular areas. |
![]() |