
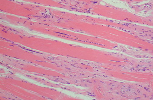
| In this case of myotonic dystrophy, note the long strings of nuclei in longitudinal section. The gene defect is an expanded CTG trinucleotide repeat within the non-coding portion of the DM-1 gene on chromosome 19 that codes for the myotonin-kinase protein. There is a reduction in transcripts of this gene. Skeletal muscle, liver, and brain can be affected. Muscular weakness is apparent early in the neck muscles and distal limb muscles. The palate, tongue, and pharyngeal muscles are also involved, producing a dysarthric speech and swallowing problems. |
![]() |