
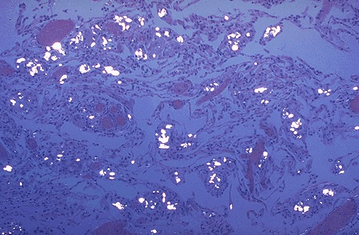
| Bright white collections of polarizable crystals are seen here, but are diffuse and centered around vascular spaces. This is the lung of a patient with a long history of intravenous drug use. Only about 1% of such persons get a significant degree of pulmonary fibrosis. The crystals represent talc that is used to to dilute the injected drug. |
![]() |