
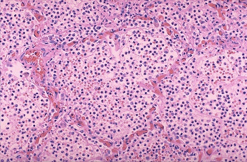
| At medium power magnification, numerous neutrophils fill the alveoli in this case of acute bronchopneumonia in a patient with a high fever. Pseudomonas aeruginosa was cultured from sputum. Note the dilated capillaries in the alveolar walls from vasodilation with the acute inflammatory process. |
![]() |