
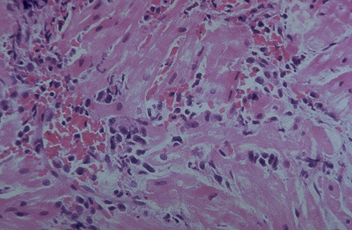
| This is acute vascular rejection in a heart transplant. The inflammatory reaction consists mostly of lymphocytes and is seen mainly around small arteries, a vasculitis. Such a reaction can occur when the dose of immunosuppressive drugs is decreased in the months following transplantation. Increasing immunosuppresive therapy in these patients is not as effective as for acute cellular rejection. |
![]() |