
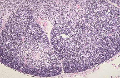
| At low power the thymus is seen to be pale because of reduced numbers of lymphocytes. The infant manifested problems with cell-mediated immunity. This is partial DiGeorge syndrome. Most cases of DiGeorge syndrome result from a deletion of chromosome 22q11.2 (the DiGeorge syndrome chromosome region, or DGCR). Manifestations of the 22q11 deletion syndrome include congenital heart disease (such as tetralogy of Fallot), palatal abnormalities such as cleft palate, facial abnormalities, and learning difficulties. Parathyroid hypoplasia (with hypocalcemia) and thymic hypoplasia (DiGeorge anomaly) are seen in some cases of 22q11 deletion. |
![]() |