
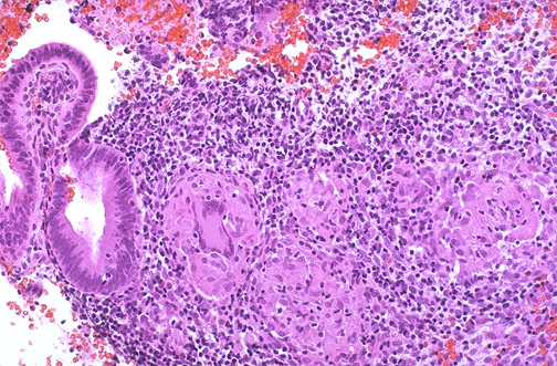
| Chronic endometritis can occur in patients with chronic pelvic inflammatory disease, as a postpartum or postabortion complication, in association with intrauterine devices (IUD's), or with tuberculosis. In a sixth of patients there is no definable cause for chronic endometritis. The granulomatous form of chronic endometritis shown here is due to drainage of tuberculous salpingitis into endometrial cavity. This occurred in a patient with disseminated tuberculosis. |
![]() |