
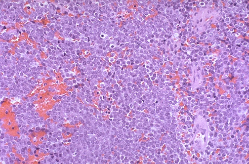
| This is the microscopic appearance of neuroblastoma, which is one of the "small round blue cell" tumors most typically seen in the pediatric age range. These neoplasms can reach a large size in the retroperitoneum before detection. They often contain areas of necrosis and calcification. |
![]() |