
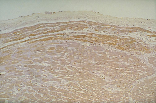
| The cardiac conduction system continues south from the AV node as the bundle of His beneath the endocardium. The more neural features of these fibers is brought out by this S100 immunohistochemical stain, which highlights the bundle of His in longitudinal section. Abnormalities of the conduction system may lead to arrhythmias. |
![]() |