
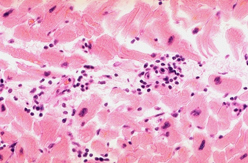
| This inflammation is mostly mononuclear and perivascular in a patient with a heart transplant. One would also need to perform immunofluorescence studies to determine the degree of HLA-DR staining. In the view below, this has been done to reveal the presence of immune deposition consistent with a vascular (humoral) component to the rejection episode, indicating a worse outcome. |
![]() |