
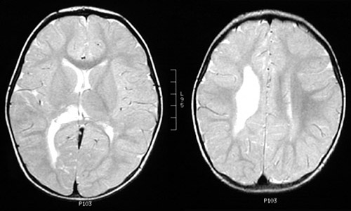
| The term "cerebral palsy" refers to a developmental disorder of motor function present from infancy or early childhood. This condition is probably the result of a vascular accident with localized infarction occurring prenatally or intrapartum. The actual event often goes unrecognized until a motor problem such as spastic diplegia or hemiplegia is noted early in development. In this case, the child was noted to have impaired motion, particularly of extensor muscles, on the left. This MRI scan reveals mild loss of white matter, basal ganglia, and thalamus on the right with resultant ex vacuo ventricular dilation. Cerebral palsy is non-progressive, and the childhood brain has an amazing ability to "rewire" itself, minimizing the deficit. |
![]() |