
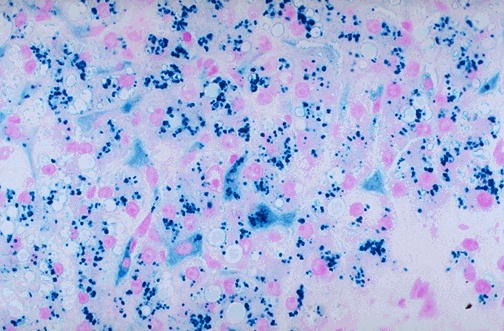
| A Prussian blue reaction is seen in this iron stain of the liver to demonstrate large amounts of hemosiderin that are present within the cytoplasm of the hepatocytes and Kupffer cells. Ordinarily, only a small amount of hemosiderin would be present in the fixed macrophage-like cells in liver, the Kupffer cells, as part of iron recycling. |
![]() |