
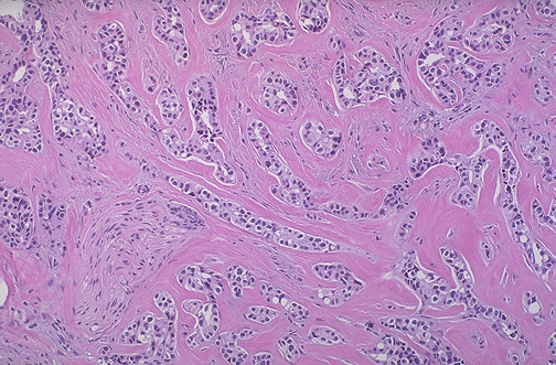
| Note the small nests and infiltrating strands of neoplastic cells with prominent bands of collagen between them in this ductal carcinoma of the breast. It is this marked increase in the dense fibrous tissue stroma that produces the characteristic hard "scirrhous" appearance of the typical infiltrating ductal carcinoma. Note the nerve surrounded by the neoplasm at the lower left. |
![]() |